> - Doğuma 272 gün kaldı.
İçeride neler oluyor?

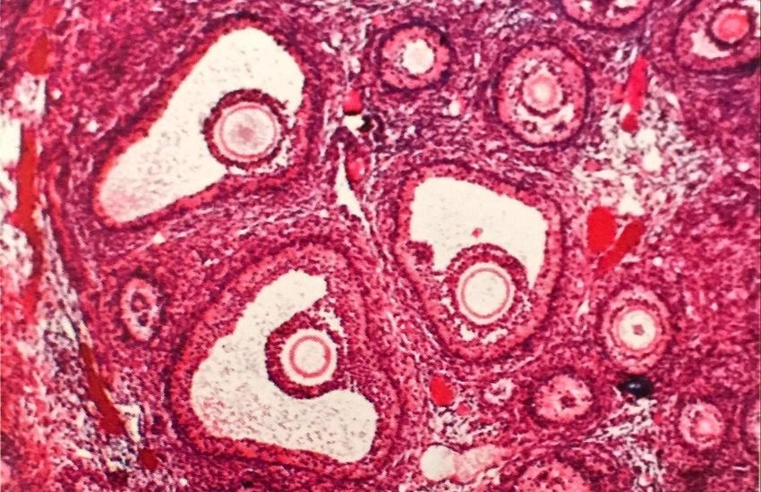
Yukarıda beyaz alanlarda gelişen üç yumurtalık folikülü görülebilir. Her birinin iç çemberi yumurtadır. Gösterilen foliküllerden sadece birinin yumurtlamada tamamen olgunlaşması ve bir yumurta bırakması muhtemeldir.
Bu hafta adet döngünün ikinci haftası. Muhtemelen bu haftanın sonuna kadar yumurtlayacaksın ve bu nedenle bu hafta için en doğurgan olduğun süreç diyebiliriz. Bir sperm rahimde 3 gün, bir yumurta yumurtlamadan sonra 12-24 saat yaşadığından, yumurtanın döllenme süresi için 6 gün diyebiliriz. Ancak yumurtlama günü 12. günden 16. güne kadar değiştiğinden, doğurganlık aşaması yaklaşık 8 gün olarak kabul edilir.
Düzenli adet dönemlerin varsa yumurtlamanı izlemek daha kolay olabilir ancak yumurtlama döneminin bazı belirtileri var ve hem bu doğal belirtileri izleyerek hem de yumurtlama kiti kullanarak şansını arttırabilirsin.
Yumurtlama testleri, yumurta salınımını tetikleyen hormon olan LH'de artış olup olmadığını test eder. Mantık olarak aynı gebelik testleri gibi çalışır, kitin üzerine birkaç damla idrar damlatılır ve sonuç beklenir. Pozitif bir testten 12-36 saat sonra yumurtlayabilirsin. Bu kitlerin sonuçları yaklaşık yüzde 99 doğrudur, ancak bazen sonuç yanlış pozitif veya yanlış negatif sonuçlar da görülebilir. Eğer yaptığın test negatifse, ertesi gün başka bir test yapabilirsin. Olumlu bir sonuç aldığında, o ay için testi durdurabilirsin.
Yumurtlama test kitleri yararlı olsa da biraz pahalı olabilirler ve ayrıca psikolojin üzerinde ters etki de yaratabilirler. Çünkü bu bilgi eşinle yaptığın seksi daha mekanik, daha az zevkli ve görev bilinciyle yapılmış hale getirir. Bunun için gebe kalmanın en iyi yolu düzenli olarak seks yapmaktır.
Yumurtlama Dönemiyle İlgili En Çok Sorulan 10 Soru!
Yumurtlama belirtileri neler?
- Hafif kasık ağrısı,
- Vücut ısısında yükselme,
- Akıntı,
- Göğüslerde hassasiyet, yumurtlama döneminde görülen belirtilerden. Bunlar hamilelik belirtileri ile de karşılaştırılabilecek belirtilerden.
Farkı anlamak için oku: Hamilelik Belirtileri Nelerdir? Ne Zaman Başlar?

Yumurtlama döneminde meydana gelen değişiklikler
Vücut ısısı, yumurtlamadan hemen sonra yaklaşık 0,5 derece hızla yükselir. Bununla beraber yumurtlamaya giden günlerde nemli ve yapışkan olarak başlayan, daha sonra doğurganlığının en yüksek olduğu dönemde daha ıslak ve esnek hale gelen akıntıların olabilir. Parmağınla servikal mukusun bir kısmına dokunursan uzayabileceğini göreceksin. Bu yumurtlamak üzere olduğunun bir işaretidir.
Ayrıntı burada: Yumurtlama Dönemi Belirtileri: Ovülasyonun 6 İşareti!