- Doğuma 268 gün kaldı.
İçeride neler oluyor?

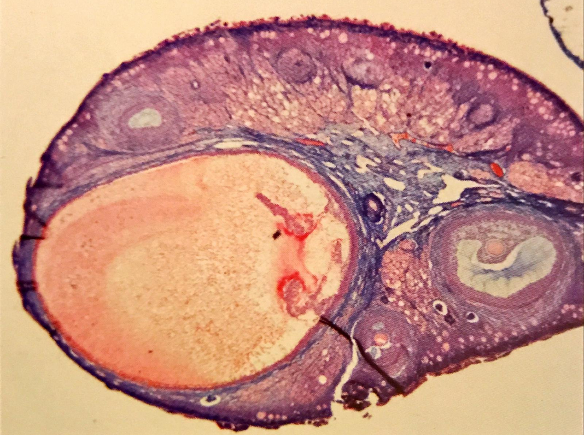
Bu görseldeki olgun yumurtalık folikülü, soluk pembe renkle görülen foliküler antrum olarak bilinen sıvı dolu bir boşluk içerir. Bu aşamada yumurtlamadan hemen önce bir folikül diğerlerinden çok daha büyük hale geldi ve bu folikül, bir yumurtayı serbest bırakmak için parçalanacak. Östrojen seviyen yükseliyor ve 28 günlük adet döngüsü içinde bugün zirveye ulaşıyor. Foliküllerden östrojen artışı, yumurtlamadan yaklaşık 24 saat önce yükselen LH hormonunun salınımını uyarır. Hipofiz bezinden yayılan FSH da bu hafta sonunda yükselmeye başlıyor. Rahim zarının kalınlaşması gerekene kadar bu hormona ihtiyaç duyulmaz. Gerçekte yüksek seviyeler, rahim ağzını spermlere düşman yapar, böylece yumurtayı döllemek için rahim ve fallop tüplerine ulaşmada sorun yaşarlar.
Kadınlar ayrıca erkeklik hormonu olan testosteron da üretir ve bu yumurtlama döneminde zirveye ulaşır. Bu hormon her iki cinsiyette de libidodan sorumludur, bu yüzden sen ve eşin şu anda bebek yapma havasına girmiş olabilirsiniz.
Hadi detaya bak: Doğurganlıkla İlgili Efsaneler ve Gerçekler
Aklında olsun!
Stresli olmak doğurganlık yeteneğini olumsuz yönde etkileyebilir!
Doğanın stresli koşullarda gebe kalmayı zorlaştırması şaşırtıcı değildir. Bunun bir nedeni, yumurtalıkların döngünün ortasında luteinize edici hormon dalgalanmasına tepkisini azaltması olabilir. Stres ile doğurganlık tedavilerinin başarısızlığı arasında da bir bağlantı vardır, ancak bunun kesin nedeni bilinmemektedir.
Doktoruna sor!
Yakın bir zamanda düşük yaptım. Hemen hamile kalabilir miyim?
Genel olarak düşükten sonra adet olana kadar beklemen önerilir. Bu, hızlı bir şekilde gebe kalman durumunda hamileliğini tarihlendirmende yardımcı olacaktır.
Ancak düşük yapmanın sebebi bir enfeksiyon veya bilinen bir tıbbi problemle bağlantılıysa veya tekrar ediyorsa, doktorun daha uzun süre beklemeni tavsiye edebilir. Bu nedenle önce genel bir sağlık taraması yaptırman iyi olabilir.
Bu arada sen ve eşinin de yas tutmak ya da psikolojik olarak toparlanmak için zamana ihtiyacı olabilir. Ama korkma, tek bir düşük yaptıysan ve de tekrarlayan bir sorunun yoksa kolayca tekrar hamile kalabilirsin.
 
                                        