Mol gebelik nedir?
Üzüm gebeliği ya da molar gebelik de denen mol gebeliği, plasentayı rahim zarına bağlayan küçük, parmağa benzeyen çıkıntıların (koryonik villus) sağlıklı gelişmemesinden kaynaklanır. Bunun sonucunda da rahmin içinde bebek yerine anormal bir kitle (hidatidiform) oluşur. Kitle, döllenmiş yumurtadaki anormal kromozomlardan kaynaklanan plasenta dokusu tümörüdür.
Bazı vakalarda embriyonik ya da fetal doku bulunabilir ama bu, yaşama şansı olan bir embriyo değildir. Bu duruma da kısmi molar gebelik denir.
Mol gebelik çok nadir görülen gebelik komplikasyonlarından. Tıbbi isimlerini de yazalım: Gestasyonel trofoblastik neoplazi (GTN) veya hydatiform mol olarak da adlandırılır.
Bunu da okumalısın: Anne Karnındaki Bebeğe Ondan Yakını Yok: 10 Maddede Plasenta ile İlgili Her Şey

Mol gebelik neden olur?
Döllenme sırasında babadan gelen iki kromozom takımının anneden gelen bir kromozom takımı ile birleşmesi (kısmi mol) ya da anneden hiç kromozom almaması (tam mol) ile ortaya çıkan bir anormallik üzüm gebeliğine neden olur.
Mol gebelik belirtileri neler? Mol gebelik nasıl anlaşılır?
- On ikinci haftada başlayan kanama,
- Sürekli ya da ara ara kahverengimsi akıntı,
- Ciddi mide bulantısı ve kusma,
- Rahatsız edici kramplar,
- Yüksek tansiyon,
- Rahmin beklenenden büyük olması,
- Rahmin sıkı değil yumuşak olması,
- Embriyonik ya da fetal doku bulunmaması (Çoğu durumda kısmi mol değildir.),
- Annede aşırı düzeyde tiroit hormonu bulunması,
- Henüz hamileliğin ortasındayken çok, sürecin %25'inde ise çok az almak.
Bunlardan birçoğunu hamileliğin ilk zamanlarındaki normal semptomlardan ayırman zor olabilir. Burada hislerine güven ve herhangi bir endişe hissedersen zaman geçirmeden doktora git lütfen.
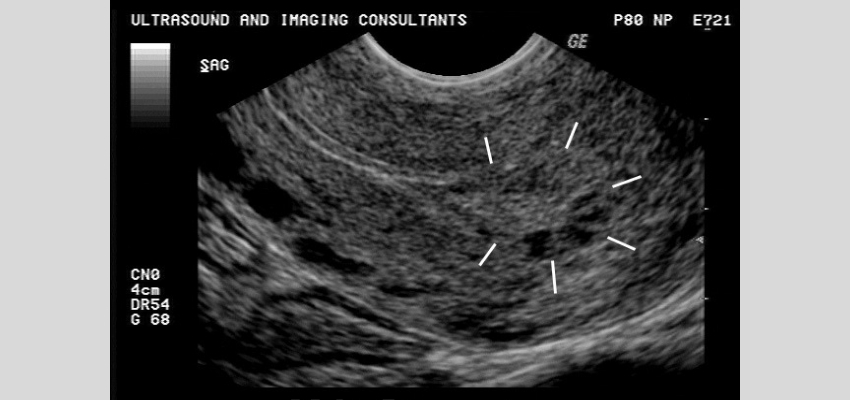
Mol gebelik kaçıncı haftada belli olur?
Çoğu döllenmeden itibaren birkaç hafta içinde fark edilir. Üzüm gebeliği ultrason muayenesi ile teşhis edilir. Ama öncesinde belirtileri olan kadınlarda HCG hormonunun seviyesi ölçülür. Bu seviye fazla çıkarsa genellikle ultrasona geçilir.
Mol gebelikte ultrason görüntüsü "kar yağdı manzarası" görünümündedir.

Mol gebelik yaşayanların takip edilmesiyle şöyle bir sonuca ulaşılmış: 1 kez mol gebelik geçiren kadınlardan yalnızca %1 ya da 2'sinde bu durum tekrardan yaşanıyor.
Gebeliğin Boyunca Bunları Sık Duyacaksın: Hamilelik Sözlüğü
Mol gebelik tedavisi olan bir şey mi?
Mol gebelik teşhis edildiğinde genellikle en kısa sürede kürtaj yapılır. Üzüm gebeliği yaşandıktan sonra tamamen sona erdiğinden emin olana kadar etkili bir doğum kontrol yöntemi uygulanmalı.
Mol gebelikten sonra ne zaman hamile kalınır?
Doktorlar genellikle tekrar hamile kalmadan önce en az 1 yıl güvenilir doğum kontrol yöntemleri kullanılmasını tavsiye eder. Kısacası yeni bir gebelik için acele etmemelisin.
Mol gebelik kanser midir?
Op. Dr. Hande Yurtsever'in belirttiğine göre anormal kitle kürtajla alınsa bile %10-15 olguda trofoblast hücreleri varlığını sürdürebilir ya da çoğalabilir. Aslında doktorlar bu nedenle ameliyattan sonra 1 sene gibi bir süre geçmesini ve kontrolü elden bırakmamayı önerirler.
Yurtsever, %5 olguda ise bu hücrelerin rahim dışına yayılabildiklerini söylüyor. Mol gebelikten sonra oluşan bu kansere de koriyokarsinom deniyor. Gebeliğe bağlı son derece nadir görünen bir kanser türü olduğunu hatırla ve bu yazıyı bazı belirtilerden endişe ettiğin için okuyorsan doktora gitmeden panik yapma lütfen.
Ayrıca koriyokarsinom teşhis edilse bile bu kanser, kemoterapiye ve radyoterapiye çok iyi cevap verir. İyileşme ihtimali %90'ın üzerindedir.
Kaynaklar:
- Bebeğinizi Beklerken Sizi Neler Bekler-Heidi E. Murkoff ve Sharon Mazel,
- Hafta Hafta Hamileliğiniz-Dr. Glace B. Curtis, Judith Schuler,
- Sağlıklı Gebelik Rehberi-Mayo Clinic.